Identificativo:RMCSSN1Descrizione:RM ENCEFALO MDCData:24-03-2026
 
Torna all'indice esami
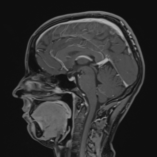
Serie(ID: ) MR - AAHead_Scout_MPR_sag
Serie(ID: ) MR - AAHead_Scout_MPR_cor
Serie(ID: ) MR - AAHead_Scout_MPR_tra
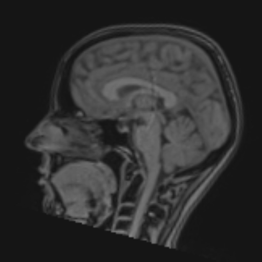
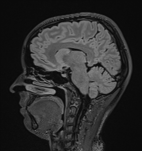
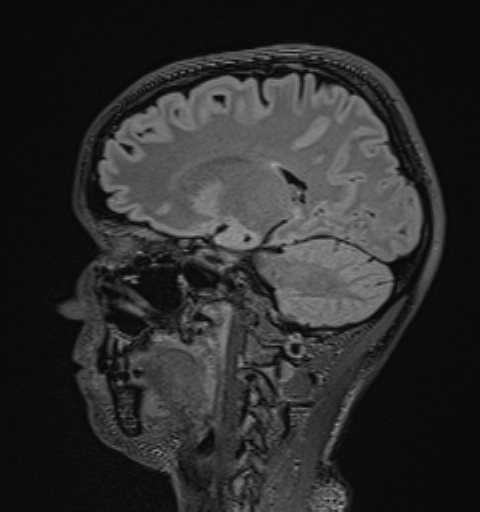
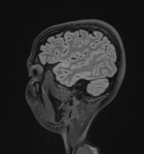
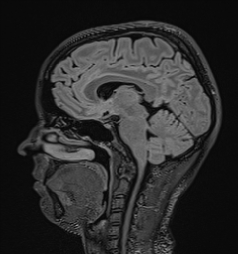
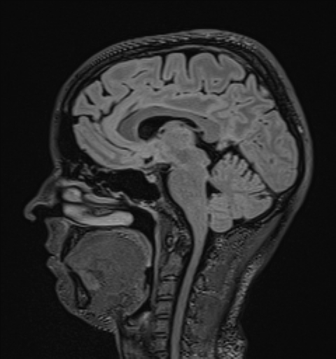
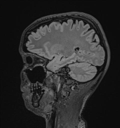
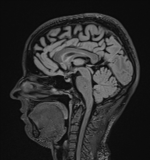
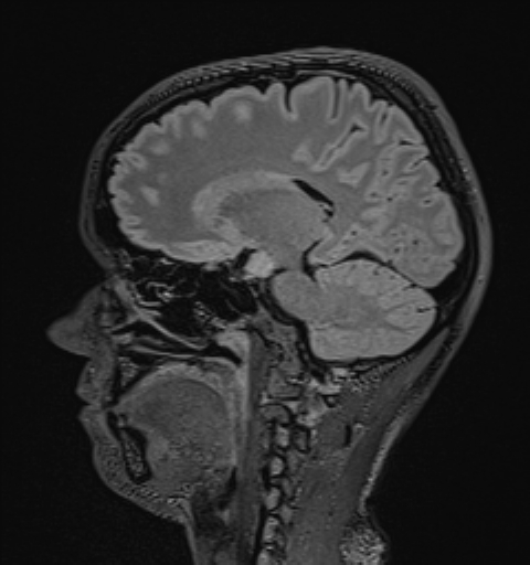
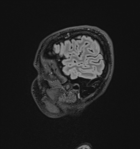
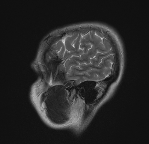
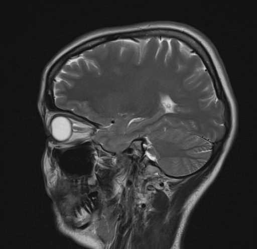
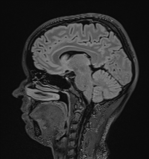
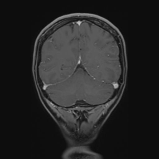
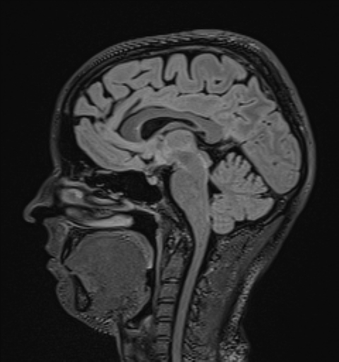
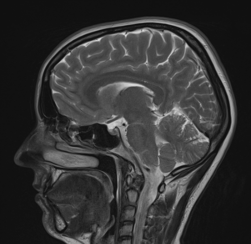
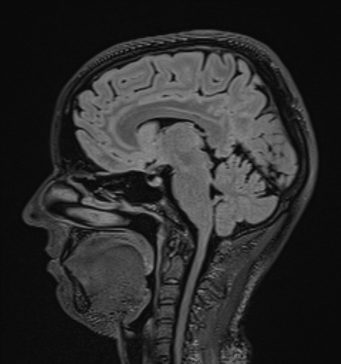
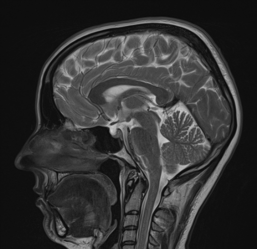
Serie(ID: ) MR - t2_tse_sag
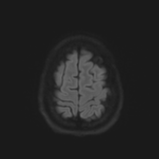
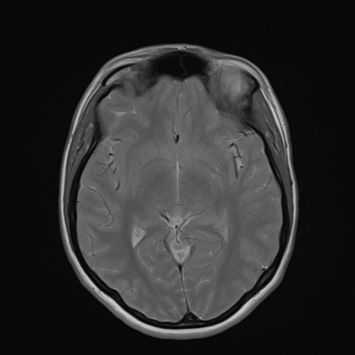
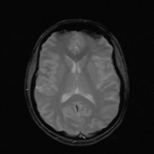
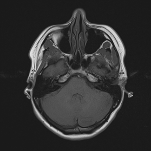
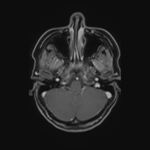
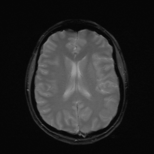
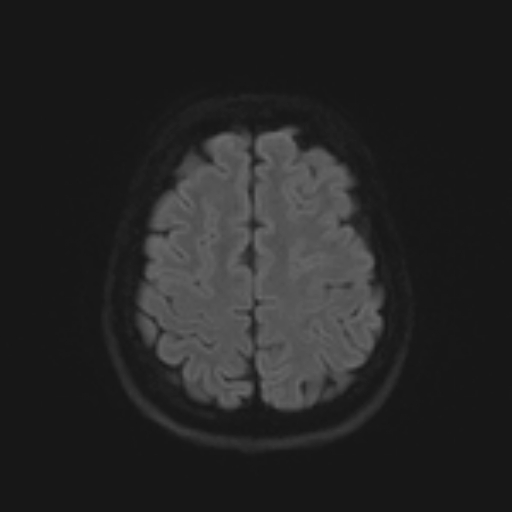
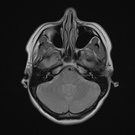
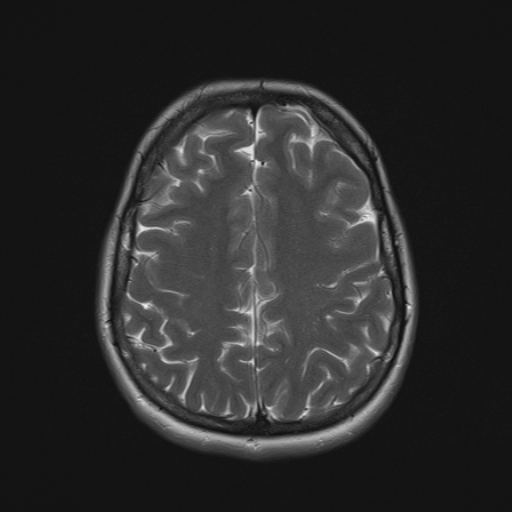
Serie(ID: ) MR - pd+t2_tse_tra_p2
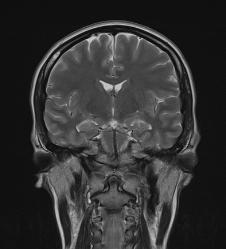
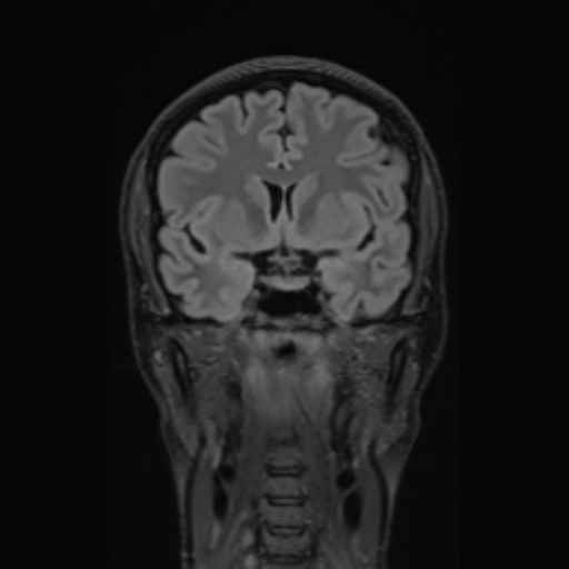
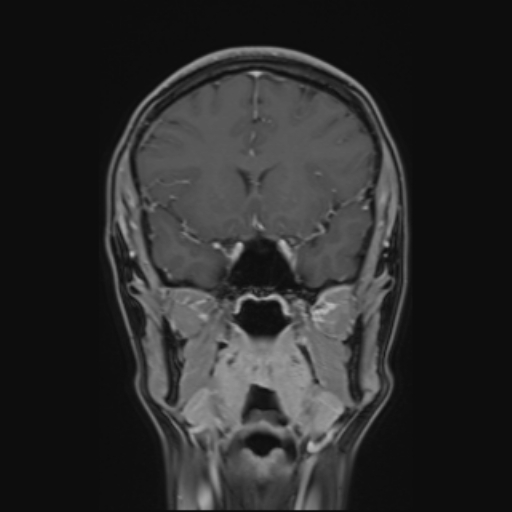
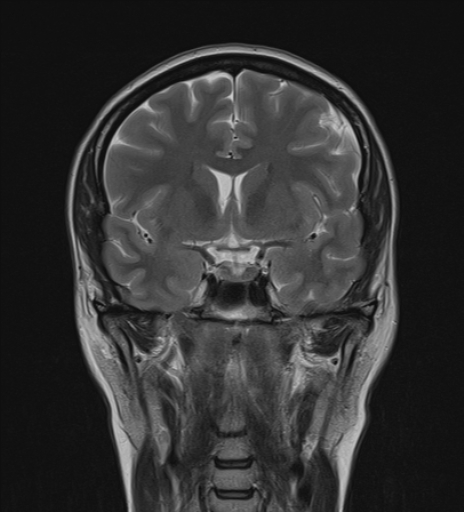
Serie(ID: ) MR - t2_tse_cor
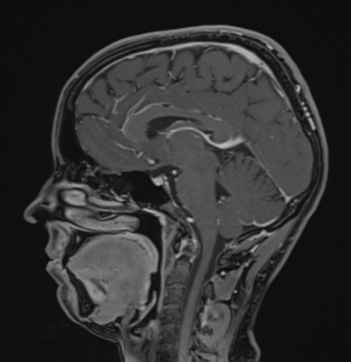
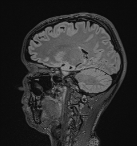
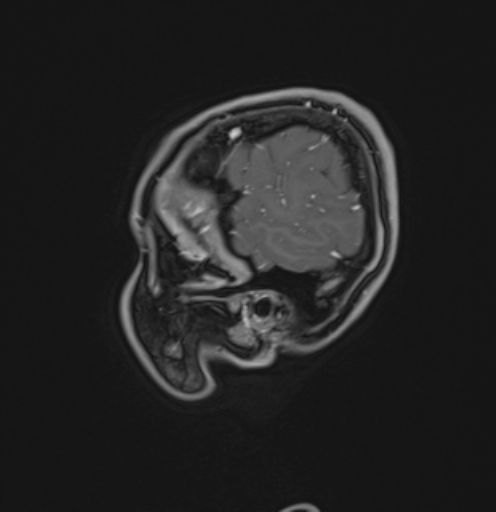
Serie(ID: ) MR - t2_space_dark-fluid_sag_iso
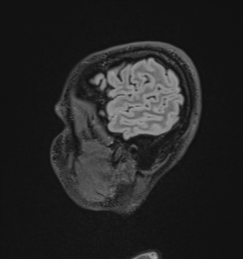
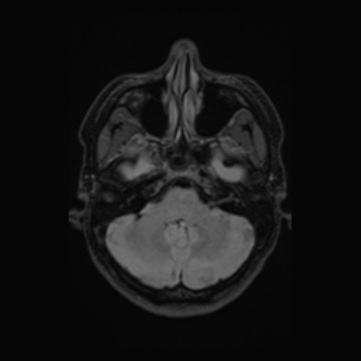
Serie(ID: ) MR - t2_fl2d_tra_hemo
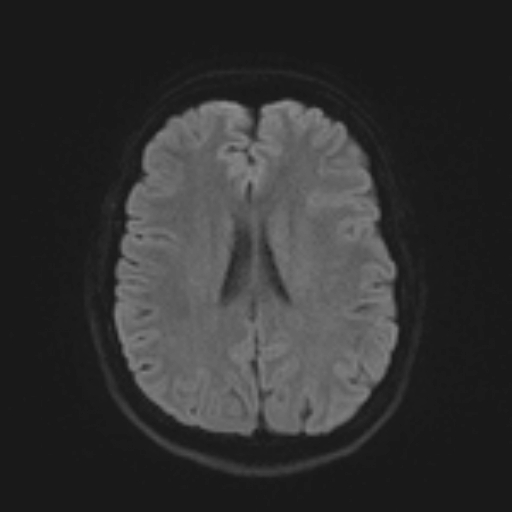
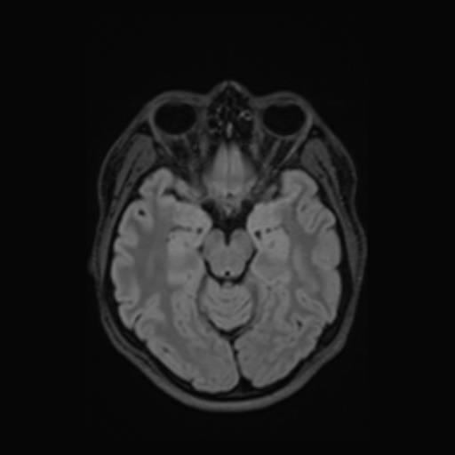
Serie(ID: ) MR - resolve_4scan_trace_tra_p2_150_TRACEW
Serie(ID: ) MR - resolve_4scan_trace_tra_p2_150_ADC
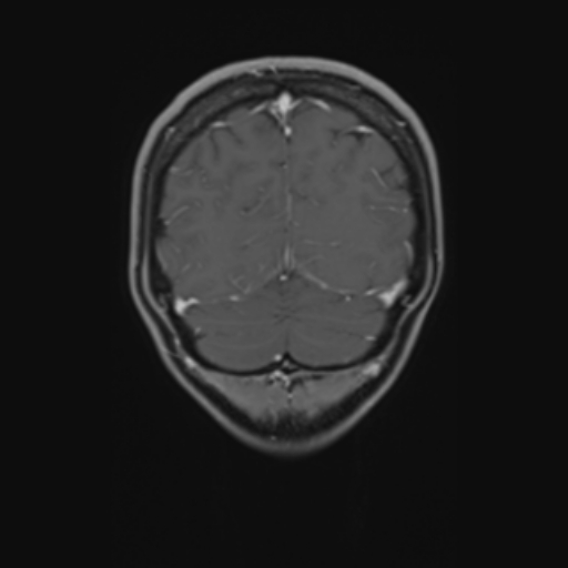
Serie(ID: ) MR - t1_se_tra
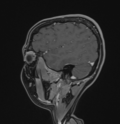
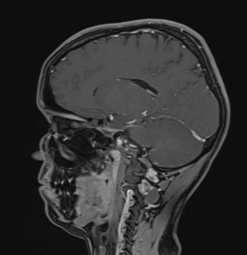
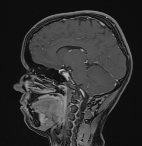
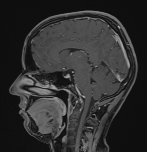
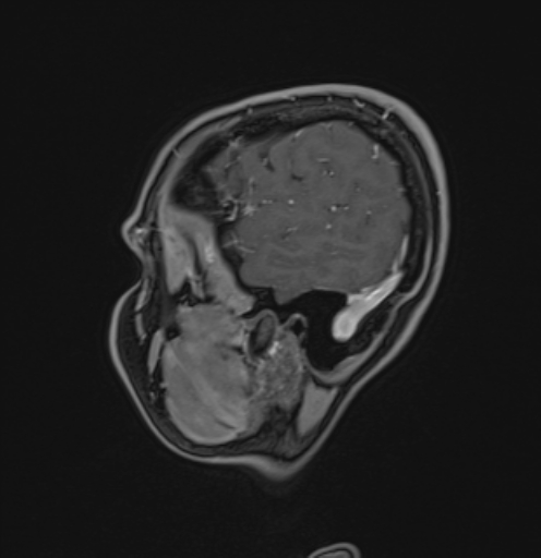
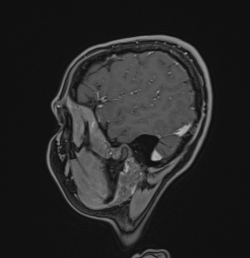
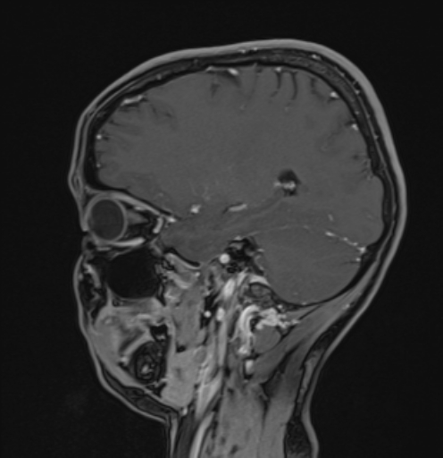
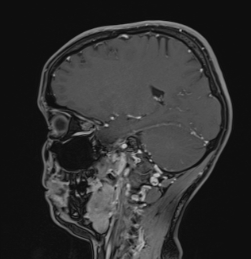
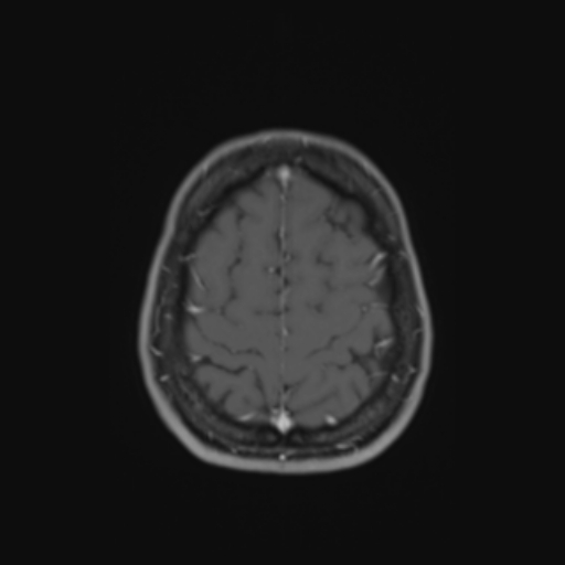
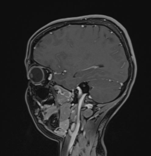
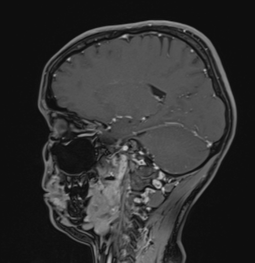
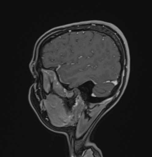
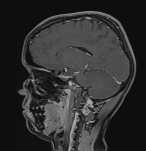
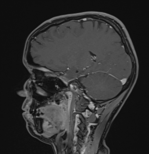
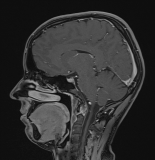
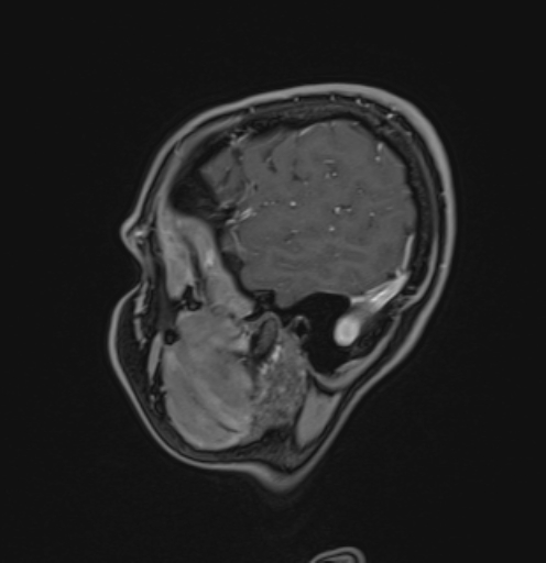
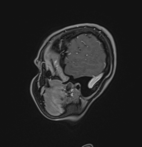
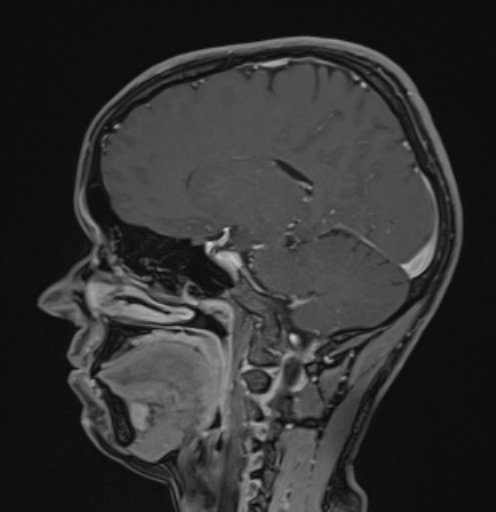
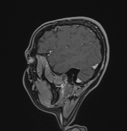
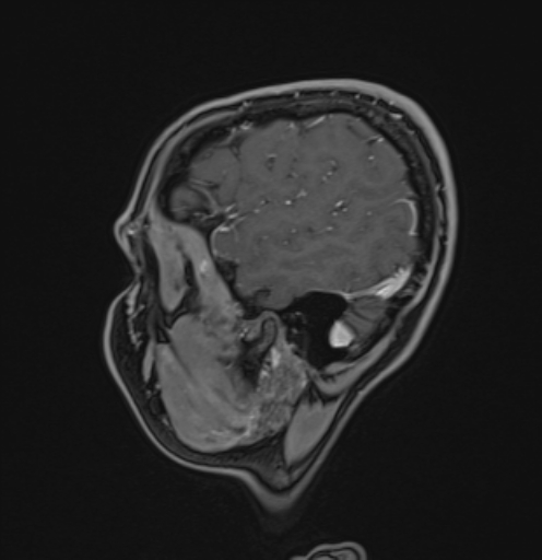
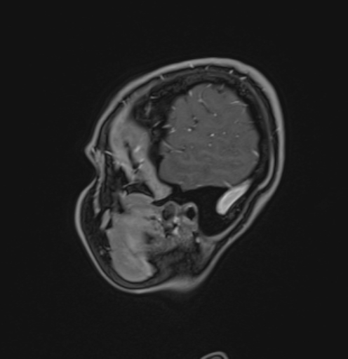
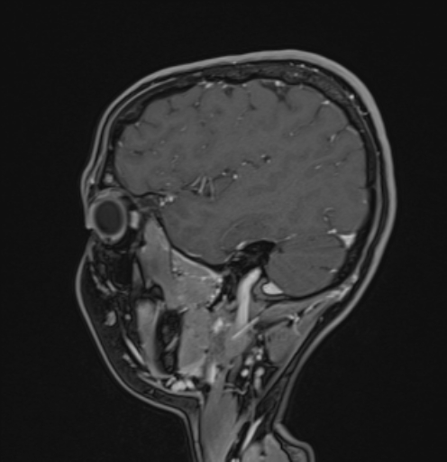
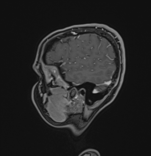
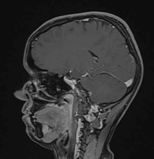
Serie(ID: ) MR - t1_vibe_fs_sag_MDC
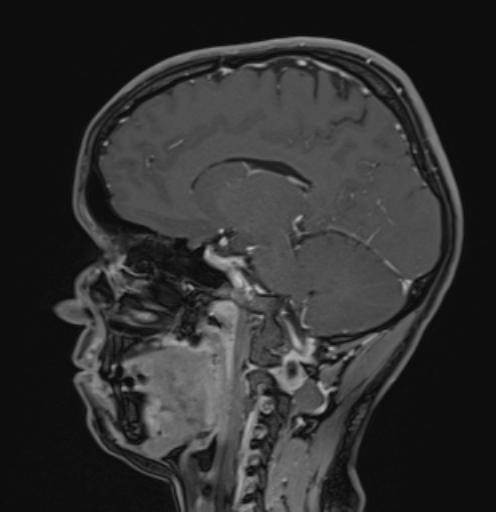
Serie(ID: ) MR - t1_se_tra fs MDC
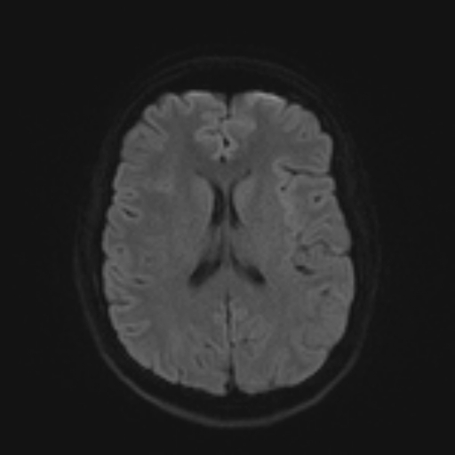
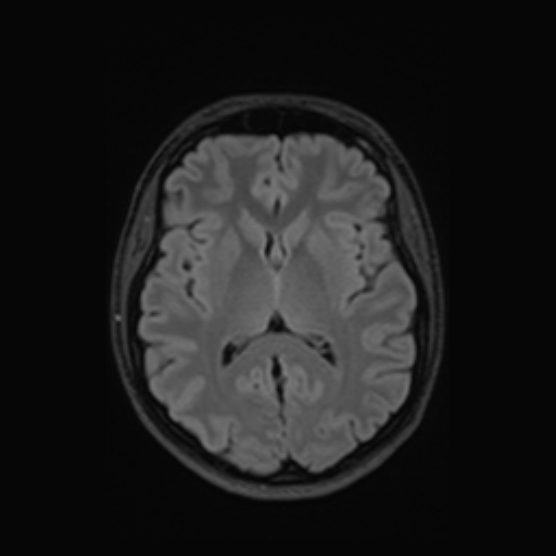
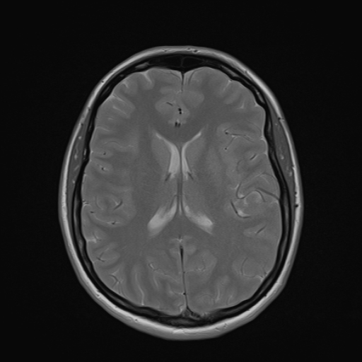
Serie(ID: ) MR - t2_space_dark-fluid_TRA
Serie(ID: ) MR - t2_space_dark-fluid_COR
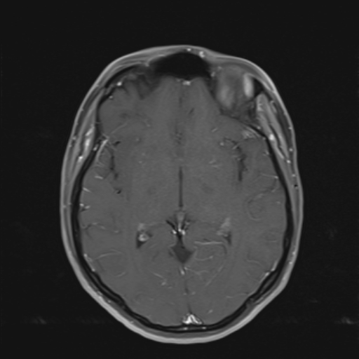
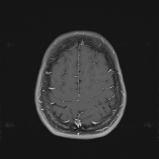
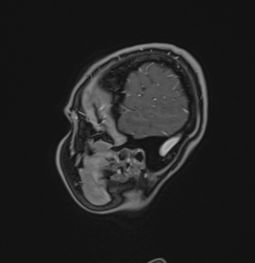
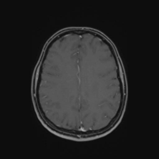
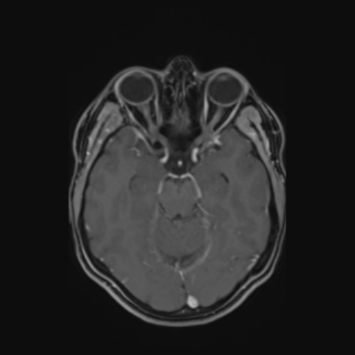
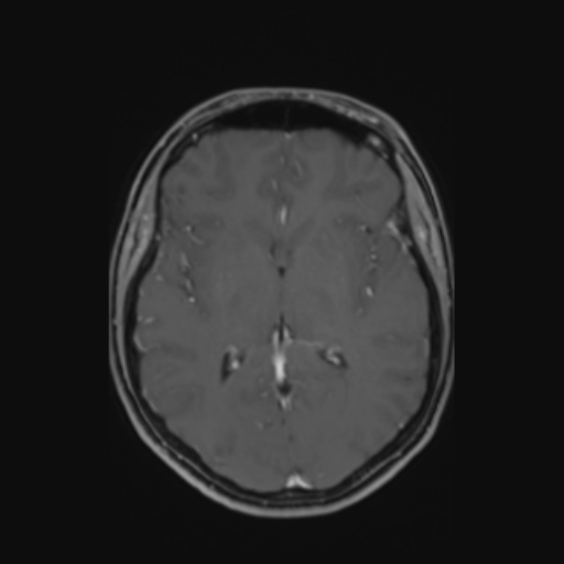
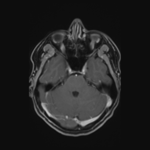
Serie(ID: ) MR - t1_vibe_fs_TRA_MDC
Serie(ID: ) MR - t1_vibe_fs_COR_MDC
 
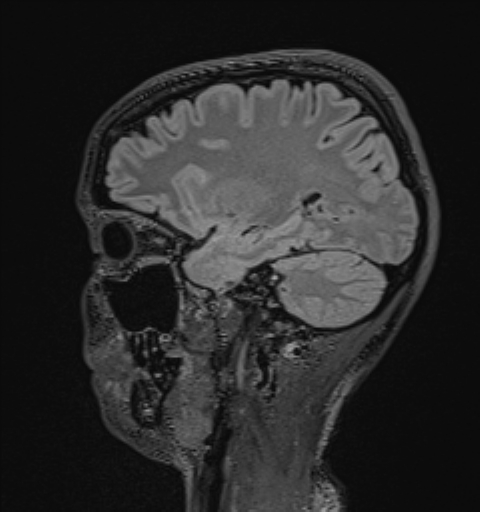
Serie(ID: ) MR - AAHead_Scout_MPR_sag
Serie:  - AAHead_Scout_MPR_sag Immagine: 1Serie:  - AAHead_Scout_MPR_sag Immagine: 2Serie:  - AAHead_Scout_MPR_sag Immagine: 3
Serie:  - AAHead_Scout_MPR_sag Immagine: 4Serie:  - AAHead_Scout_MPR_sag Immagine: 5
Torna all'inizio
 
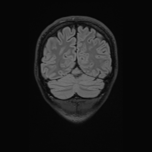
Serie(ID: ) MR - AAHead_Scout_MPR_cor
Serie:  - AAHead_Scout_MPR_cor Immagine: 1Serie:  - AAHead_Scout_MPR_cor Immagine: 2Serie:  - AAHead_Scout_MPR_cor Immagine: 3
Torna all'inizio
 
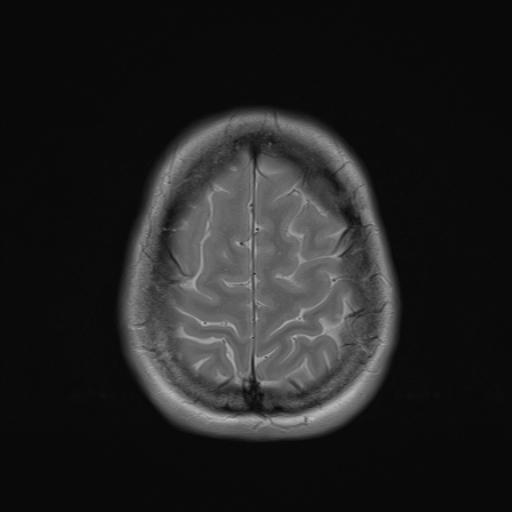
Serie(ID: ) MR - AAHead_Scout_MPR_tra
Serie:  - AAHead_Scout_MPR_tra Immagine: 1Serie:  - AAHead_Scout_MPR_tra Immagine: 2Serie:  - AAHead_Scout_MPR_tra Immagine: 3
Torna all'inizio
 
Serie(ID: ) MR - t2_tse_sag
Serie:  - t2_tse_sag Immagine: 1Serie:  - t2_tse_sag Immagine: 2Serie:  - t2_tse_sag Immagine: 3
Serie:  - t2_tse_sag Immagine: 4Serie:  - t2_tse_sag Immagine: 5Serie:  - t2_tse_sag Immagine: 6
Serie:  - t2_tse_sag Immagine: 7Serie:  - t2_tse_sag Immagine: 8Serie:  - t2_tse_sag Immagine: 9
Serie:  - t2_tse_sag Immagine: 10Serie:  - t2_tse_sag Immagine: 11Serie:  - t2_tse_sag Immagine: 12
Serie:  - t2_tse_sag Immagine: 13Serie:  - t2_tse_sag Immagine: 14Serie:  - t2_tse_sag Immagine: 15
Serie:  - t2_tse_sag Immagine: 16Serie:  - t2_tse_sag Immagine: 17Serie:  - t2_tse_sag Immagine: 18
Serie:  - t2_tse_sag Immagine: 19Serie:  - t2_tse_sag Immagine: 20Serie:  - t2_tse_sag Immagine: 21
Serie:  - t2_tse_sag Immagine: 22Serie:  - t2_tse_sag Immagine: 23Serie:  - t2_tse_sag Immagine: 24
Serie:  - t2_tse_sag Immagine: 25
Torna all'inizio
 
Serie(ID: ) MR - pd+t2_tse_tra_p2
Serie:  - pd+t2_tse_tra_p2 Immagine: 1Serie:  - pd+t2_tse_tra_p2 Immagine: 2Serie:  - pd+t2_tse_tra_p2 Immagine: 3
Serie:  - pd+t2_tse_tra_p2 Immagine: 4Serie:  - pd+t2_tse_tra_p2 Immagine: 5Serie:  - pd+t2_tse_tra_p2 Immagine: 6
Serie:  - pd+t2_tse_tra_p2 Immagine: 7Serie:  - pd+t2_tse_tra_p2 Immagine: 8Serie:  - pd+t2_tse_tra_p2 Immagine: 9
Serie:  - pd+t2_tse_tra_p2 Immagine: 10Serie:  - pd+t2_tse_tra_p2 Immagine: 11Serie:  - pd+t2_tse_tra_p2 Immagine: 12
Serie:  - pd+t2_tse_tra_p2 Immagine: 13Serie:  - pd+t2_tse_tra_p2 Immagine: 14Serie:  - pd+t2_tse_tra_p2 Immagine: 15
Serie:  - pd+t2_tse_tra_p2 Immagine: 16Serie:  - pd+t2_tse_tra_p2 Immagine: 17Serie:  - pd+t2_tse_tra_p2 Immagine: 18
Serie:  - pd+t2_tse_tra_p2 Immagine: 19Serie:  - pd+t2_tse_tra_p2 Immagine: 20Serie:  - pd+t2_tse_tra_p2 Immagine: 21
Serie:  - pd+t2_tse_tra_p2 Immagine: 22Serie:  - pd+t2_tse_tra_p2 Immagine: 23Serie:  - pd+t2_tse_tra_p2 Immagine: 24
Serie:  - pd+t2_tse_tra_p2 Immagine: 25Serie:  - pd+t2_tse_tra_p2 Immagine: 26Serie:  - pd+t2_tse_tra_p2 Immagine: 27
Serie:  - pd+t2_tse_tra_p2 Immagine: 28Serie:  - pd+t2_tse_tra_p2 Immagine: 29Serie:  - pd+t2_tse_tra_p2 Immagine: 30
Serie:  - pd+t2_tse_tra_p2 Immagine: 31Serie:  - pd+t2_tse_tra_p2 Immagine: 32Serie:  - pd+t2_tse_tra_p2 Immagine: 33
Serie:  - pd+t2_tse_tra_p2 Immagine: 34Serie:  - pd+t2_tse_tra_p2 Immagine: 35Serie:  - pd+t2_tse_tra_p2 Immagine: 36
Serie:  - pd+t2_tse_tra_p2 Immagine: 37Serie:  - pd+t2_tse_tra_p2 Immagine: 38Serie:  - pd+t2_tse_tra_p2 Immagine: 39
Serie:  - pd+t2_tse_tra_p2 Immagine: 40Serie:  - pd+t2_tse_tra_p2 Immagine: 41Serie:  - pd+t2_tse_tra_p2 Immagine: 42
Serie:  - pd+t2_tse_tra_p2 Immagine: 43Serie:  - pd+t2_tse_tra_p2 Immagine: 44Serie:  - pd+t2_tse_tra_p2 Immagine: 45
Serie:  - pd+t2_tse_tra_p2 Immagine: 46Serie:  - pd+t2_tse_tra_p2 Immagine: 47Serie:  - pd+t2_tse_tra_p2 Immagine: 48
Serie:  - pd+t2_tse_tra_p2 Immagine: 49Serie:  - pd+t2_tse_tra_p2 Immagine: 50
Torna all'inizio
 
Serie(ID: ) MR - t2_tse_cor
Serie:  - t2_tse_cor Immagine: 1Serie:  - t2_tse_cor Immagine: 2Serie:  - t2_tse_cor Immagine: 3
Serie:  - t2_tse_cor Immagine: 4Serie:  - t2_tse_cor Immagine: 5Serie:  - t2_tse_cor Immagine: 6
Serie:  - t2_tse_cor Immagine: 7Serie:  - t2_tse_cor Immagine: 8Serie:  - t2_tse_cor Immagine: 9
Serie:  - t2_tse_cor Immagine: 10Serie:  - t2_tse_cor Immagine: 11Serie:  - t2_tse_cor Immagine: 12
Serie:  - t2_tse_cor Immagine: 13Serie:  - t2_tse_cor Immagine: 14Serie:  - t2_tse_cor Immagine: 15
Serie:  - t2_tse_cor Immagine: 16Serie:  - t2_tse_cor Immagine: 17Serie:  - t2_tse_cor Immagine: 18
Serie:  - t2_tse_cor Immagine: 19Serie:  - t2_tse_cor Immagine: 20Serie:  - t2_tse_cor Immagine: 21
Serie:  - t2_tse_cor Immagine: 22Serie:  - t2_tse_cor Immagine: 23Serie:  - t2_tse_cor Immagine: 24
Serie:  - t2_tse_cor Immagine: 25Serie:  - t2_tse_cor Immagine: 26Serie:  - t2_tse_cor Immagine: 27
Serie:  - t2_tse_cor Immagine: 28Serie:  - t2_tse_cor Immagine: 29Serie:  - t2_tse_cor Immagine: 30
Torna all'inizio
 
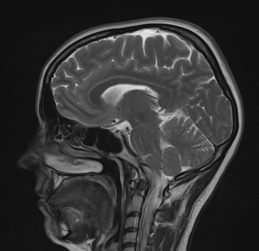
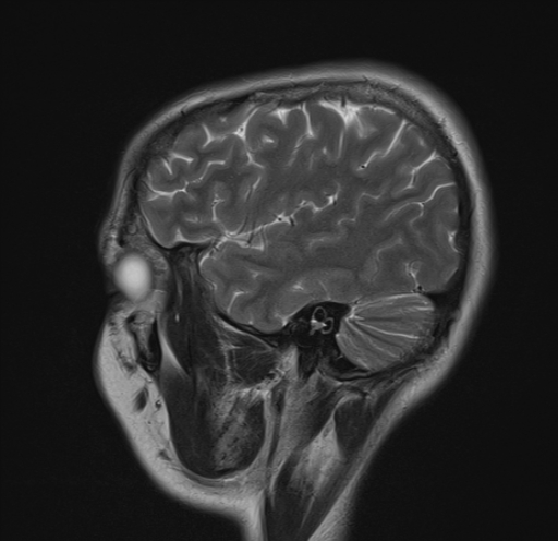
Serie(ID: ) MR - t2_space_dark-fluid_sag_iso
Serie:  - t2_space_dark-fluid_sag_iso Immagine: 1Serie:  - t2_space_dark-fluid_sag_iso Immagine: 2Serie:  - t2_space_dark-fluid_sag_iso Immagine: 3
Serie:  - t2_space_dark-fluid_sag_iso Immagine: 4Serie:  - t2_space_dark-fluid_sag_iso Immagine: 5Serie:  - t2_space_dark-fluid_sag_iso Immagine: 6
Serie:  - t2_space_dark-fluid_sag_iso Immagine: 7Serie:  - t2_space_dark-fluid_sag_iso Immagine: 8Serie:  - t2_space_dark-fluid_sag_iso Immagine: 9
Serie:  - t2_space_dark-fluid_sag_iso Immagine: 10Serie:  - t2_space_dark-fluid_sag_iso Immagine: 11Serie:  - t2_space_dark-fluid_sag_iso Immagine: 12
Serie:  - t2_space_dark-fluid_sag_iso Immagine: 13Serie:  - t2_space_dark-fluid_sag_iso Immagine: 14Serie:  - t2_space_dark-fluid_sag_iso Immagine: 15
Serie:  - t2_space_dark-fluid_sag_iso Immagine: 16Serie:  - t2_space_dark-fluid_sag_iso Immagine: 17Serie:  - t2_space_dark-fluid_sag_iso Immagine: 18
Serie:  - t2_space_dark-fluid_sag_iso Immagine: 19Serie:  - t2_space_dark-fluid_sag_iso Immagine: 20Serie:  - t2_space_dark-fluid_sag_iso Immagine: 21
Serie:  - t2_space_dark-fluid_sag_iso Immagine: 22Serie:  - t2_space_dark-fluid_sag_iso Immagine: 23Serie:  - t2_space_dark-fluid_sag_iso Immagine: 24
Serie:  - t2_space_dark-fluid_sag_iso Immagine: 25Serie:  - t2_space_dark-fluid_sag_iso Immagine: 26Serie:  - t2_space_dark-fluid_sag_iso Immagine: 27
Serie:  - t2_space_dark-fluid_sag_iso Immagine: 28Serie:  - t2_space_dark-fluid_sag_iso Immagine: 29Serie:  - t2_space_dark-fluid_sag_iso Immagine: 30
Serie:  - t2_space_dark-fluid_sag_iso Immagine: 31Serie:  - t2_space_dark-fluid_sag_iso Immagine: 32Serie:  - t2_space_dark-fluid_sag_iso Immagine: 33
Serie:  - t2_space_dark-fluid_sag_iso Immagine: 34Serie:  - t2_space_dark-fluid_sag_iso Immagine: 35Serie:  - t2_space_dark-fluid_sag_iso Immagine: 36
Serie:  - t2_space_dark-fluid_sag_iso Immagine: 37Serie:  - t2_space_dark-fluid_sag_iso Immagine: 38Serie:  - t2_space_dark-fluid_sag_iso Immagine: 39
Serie:  - t2_space_dark-fluid_sag_iso Immagine: 40Serie:  - t2_space_dark-fluid_sag_iso Immagine: 41Serie:  - t2_space_dark-fluid_sag_iso Immagine: 42
Serie:  - t2_space_dark-fluid_sag_iso Immagine: 43Serie:  - t2_space_dark-fluid_sag_iso Immagine: 44Serie:  - t2_space_dark-fluid_sag_iso Immagine: 45
Serie:  - t2_space_dark-fluid_sag_iso Immagine: 46Serie:  - t2_space_dark-fluid_sag_iso Immagine: 47Serie:  - t2_space_dark-fluid_sag_iso Immagine: 48
Serie:  - t2_space_dark-fluid_sag_iso Immagine: 49Serie:  - t2_space_dark-fluid_sag_iso Immagine: 50Serie:  - t2_space_dark-fluid_sag_iso Immagine: 51
Serie:  - t2_space_dark-fluid_sag_iso Immagine: 52Serie:  - t2_space_dark-fluid_sag_iso Immagine: 53Serie:  - t2_space_dark-fluid_sag_iso Immagine: 54
Serie:  - t2_space_dark-fluid_sag_iso Immagine: 55Serie:  - t2_space_dark-fluid_sag_iso Immagine: 56Serie:  - t2_space_dark-fluid_sag_iso Immagine: 57
Serie:  - t2_space_dark-fluid_sag_iso Immagine: 58Serie:  - t2_space_dark-fluid_sag_iso Immagine: 59Serie:  - t2_space_dark-fluid_sag_iso Immagine: 60
Serie:  - t2_space_dark-fluid_sag_iso Immagine: 61Serie:  - t2_space_dark-fluid_sag_iso Immagine: 62Serie:  - t2_space_dark-fluid_sag_iso Immagine: 63
Serie:  - t2_space_dark-fluid_sag_iso Immagine: 64Serie:  - t2_space_dark-fluid_sag_iso Immagine: 65Serie:  - t2_space_dark-fluid_sag_iso Immagine: 66
Serie:  - t2_space_dark-fluid_sag_iso Immagine: 67Serie:  - t2_space_dark-fluid_sag_iso Immagine: 68Serie:  - t2_space_dark-fluid_sag_iso Immagine: 69
Serie:  - t2_space_dark-fluid_sag_iso Immagine: 70Serie:  - t2_space_dark-fluid_sag_iso Immagine: 71Serie:  - t2_space_dark-fluid_sag_iso Immagine: 72
Serie:  - t2_space_dark-fluid_sag_iso Immagine: 73Serie:  - t2_space_dark-fluid_sag_iso Immagine: 74Serie:  - t2_space_dark-fluid_sag_iso Immagine: 75
Serie:  - t2_space_dark-fluid_sag_iso Immagine: 76Serie:  - t2_space_dark-fluid_sag_iso Immagine: 77Serie:  - t2_space_dark-fluid_sag_iso Immagine: 78
Serie:  - t2_space_dark-fluid_sag_iso Immagine: 79Serie:  - t2_space_dark-fluid_sag_iso Immagine: 80Serie:  - t2_space_dark-fluid_sag_iso Immagine: 81
Serie:  - t2_space_dark-fluid_sag_iso Immagine: 82Serie:  - t2_space_dark-fluid_sag_iso Immagine: 83Serie:  - t2_space_dark-fluid_sag_iso Immagine: 84
Serie:  - t2_space_dark-fluid_sag_iso Immagine: 85Serie:  - t2_space_dark-fluid_sag_iso Immagine: 86Serie:  - t2_space_dark-fluid_sag_iso Immagine: 87
Serie:  - t2_space_dark-fluid_sag_iso Immagine: 88Serie:  - t2_space_dark-fluid_sag_iso Immagine: 89Serie:  - t2_space_dark-fluid_sag_iso Immagine: 90
Serie:  - t2_space_dark-fluid_sag_iso Immagine: 91Serie:  - t2_space_dark-fluid_sag_iso Immagine: 92Serie:  - t2_space_dark-fluid_sag_iso Immagine: 93
Serie:  - t2_space_dark-fluid_sag_iso Immagine: 94Serie:  - t2_space_dark-fluid_sag_iso Immagine: 95Serie:  - t2_space_dark-fluid_sag_iso Immagine: 96
Serie:  - t2_space_dark-fluid_sag_iso Immagine: 97Serie:  - t2_space_dark-fluid_sag_iso Immagine: 98Serie:  - t2_space_dark-fluid_sag_iso Immagine: 99
Serie:  - t2_space_dark-fluid_sag_iso Immagine: 100Serie:  - t2_space_dark-fluid_sag_iso Immagine: 101Serie:  - t2_space_dark-fluid_sag_iso Immagine: 102
Serie:  - t2_space_dark-fluid_sag_iso Immagine: 103Serie:  - t2_space_dark-fluid_sag_iso Immagine: 104Serie:  - t2_space_dark-fluid_sag_iso Immagine: 105
Serie:  - t2_space_dark-fluid_sag_iso Immagine: 106Serie:  - t2_space_dark-fluid_sag_iso Immagine: 107Serie:  - t2_space_dark-fluid_sag_iso Immagine: 108
Serie:  - t2_space_dark-fluid_sag_iso Immagine: 109Serie:  - t2_space_dark-fluid_sag_iso Immagine: 110Serie:  - t2_space_dark-fluid_sag_iso Immagine: 111
Serie:  - t2_space_dark-fluid_sag_iso Immagine: 112Serie:  - t2_space_dark-fluid_sag_iso Immagine: 113Serie:  - t2_space_dark-fluid_sag_iso Immagine: 114
Serie:  - t2_space_dark-fluid_sag_iso Immagine: 115Serie:  - t2_space_dark-fluid_sag_iso Immagine: 116Serie:  - t2_space_dark-fluid_sag_iso Immagine: 117
Serie:  - t2_space_dark-fluid_sag_iso Immagine: 118Serie:  - t2_space_dark-fluid_sag_iso Immagine: 119Serie:  - t2_space_dark-fluid_sag_iso Immagine: 120
Serie:  - t2_space_dark-fluid_sag_iso Immagine: 121Serie:  - t2_space_dark-fluid_sag_iso Immagine: 122Serie:  - t2_space_dark-fluid_sag_iso Immagine: 123
Serie:  - t2_space_dark-fluid_sag_iso Immagine: 124Serie:  - t2_space_dark-fluid_sag_iso Immagine: 125Serie:  - t2_space_dark-fluid_sag_iso Immagine: 126
Serie:  - t2_space_dark-fluid_sag_iso Immagine: 127Serie:  - t2_space_dark-fluid_sag_iso Immagine: 128Serie:  - t2_space_dark-fluid_sag_iso Immagine: 129
Serie:  - t2_space_dark-fluid_sag_iso Immagine: 130Serie:  - t2_space_dark-fluid_sag_iso Immagine: 131Serie:  - t2_space_dark-fluid_sag_iso Immagine: 132
Serie:  - t2_space_dark-fluid_sag_iso Immagine: 133Serie:  - t2_space_dark-fluid_sag_iso Immagine: 134Serie:  - t2_space_dark-fluid_sag_iso Immagine: 135
Serie:  - t2_space_dark-fluid_sag_iso Immagine: 136Serie:  - t2_space_dark-fluid_sag_iso Immagine: 137Serie:  - t2_space_dark-fluid_sag_iso Immagine: 138
Serie:  - t2_space_dark-fluid_sag_iso Immagine: 139Serie:  - t2_space_dark-fluid_sag_iso Immagine: 140Serie:  - t2_space_dark-fluid_sag_iso Immagine: 141
Serie:  - t2_space_dark-fluid_sag_iso Immagine: 142Serie:  - t2_space_dark-fluid_sag_iso Immagine: 143Serie:  - t2_space_dark-fluid_sag_iso Immagine: 144
Serie:  - t2_space_dark-fluid_sag_iso Immagine: 145Serie:  - t2_space_dark-fluid_sag_iso Immagine: 146Serie:  - t2_space_dark-fluid_sag_iso Immagine: 147
Serie:  - t2_space_dark-fluid_sag_iso Immagine: 148Serie:  - t2_space_dark-fluid_sag_iso Immagine: 149Serie:  - t2_space_dark-fluid_sag_iso Immagine: 150
Serie:  - t2_space_dark-fluid_sag_iso Immagine: 151Serie:  - t2_space_dark-fluid_sag_iso Immagine: 152Serie:  - t2_space_dark-fluid_sag_iso Immagine: 153
Serie:  - t2_space_dark-fluid_sag_iso Immagine: 154Serie:  - t2_space_dark-fluid_sag_iso Immagine: 155Serie:  - t2_space_dark-fluid_sag_iso Immagine: 156
Serie:  - t2_space_dark-fluid_sag_iso Immagine: 157Serie:  - t2_space_dark-fluid_sag_iso Immagine: 158Serie:  - t2_space_dark-fluid_sag_iso Immagine: 159
Serie:  - t2_space_dark-fluid_sag_iso Immagine: 160
Torna all'inizio
 
Serie(ID: ) MR - t2_fl2d_tra_hemo
Serie:  - t2_fl2d_tra_hemo Immagine: 1Serie:  - t2_fl2d_tra_hemo Immagine: 2Serie:  - t2_fl2d_tra_hemo Immagine: 3
Serie:  - t2_fl2d_tra_hemo Immagine: 4Serie:  - t2_fl2d_tra_hemo Immagine: 5Serie:  - t2_fl2d_tra_hemo Immagine: 6
Serie:  - t2_fl2d_tra_hemo Immagine: 7Serie:  - t2_fl2d_tra_hemo Immagine: 8Serie:  - t2_fl2d_tra_hemo Immagine: 9
Serie:  - t2_fl2d_tra_hemo Immagine: 10Serie:  - t2_fl2d_tra_hemo Immagine: 11Serie:  - t2_fl2d_tra_hemo Immagine: 12
Serie:  - t2_fl2d_tra_hemo Immagine: 13Serie:  - t2_fl2d_tra_hemo Immagine: 14Serie:  - t2_fl2d_tra_hemo Immagine: 15
Serie:  - t2_fl2d_tra_hemo Immagine: 16Serie:  - t2_fl2d_tra_hemo Immagine: 17Serie:  - t2_fl2d_tra_hemo Immagine: 18
Serie:  - t2_fl2d_tra_hemo Immagine: 19Serie:  - t2_fl2d_tra_hemo Immagine: 20Serie:  - t2_fl2d_tra_hemo Immagine: 21
Serie:  - t2_fl2d_tra_hemo Immagine: 22Serie:  - t2_fl2d_tra_hemo Immagine: 23Serie:  - t2_fl2d_tra_hemo Immagine: 24
Serie:  - t2_fl2d_tra_hemo Immagine: 25
Torna all'inizio
 
Serie(ID: ) MR - resolve_4scan_trace_tra_p2_150_TRACEW
Serie:  - resolve_4scan_trace_tra_p2_150_TRACEW Immagine: 1Serie:  - resolve_4scan_trace_tra_p2_150_TRACEW Immagine: 2Serie:  - resolve_4scan_trace_tra_p2_150_TRACEW Immagine: 3
Serie:  - resolve_4scan_trace_tra_p2_150_TRACEW Immagine: 4Serie:  - resolve_4scan_trace_tra_p2_150_TRACEW Immagine: 5Serie:  - resolve_4scan_trace_tra_p2_150_TRACEW Immagine: 6
Serie:  - resolve_4scan_trace_tra_p2_150_TRACEW Immagine: 7Serie:  - resolve_4scan_trace_tra_p2_150_TRACEW Immagine: 8Serie:  - resolve_4scan_trace_tra_p2_150_TRACEW Immagine: 9
Serie:  - resolve_4scan_trace_tra_p2_150_TRACEW Immagine: 10Serie:  - resolve_4scan_trace_tra_p2_150_TRACEW Immagine: 11Serie:  - resolve_4scan_trace_tra_p2_150_TRACEW Immagine: 12
Serie:  - resolve_4scan_trace_tra_p2_150_TRACEW Immagine: 13Serie:  - resolve_4scan_trace_tra_p2_150_TRACEW Immagine: 14Serie:  - resolve_4scan_trace_tra_p2_150_TRACEW Immagine: 15
Serie:  - resolve_4scan_trace_tra_p2_150_TRACEW Immagine: 16Serie:  - resolve_4scan_trace_tra_p2_150_TRACEW Immagine: 17Serie:  - resolve_4scan_trace_tra_p2_150_TRACEW Immagine: 18
Serie:  - resolve_4scan_trace_tra_p2_150_TRACEW Immagine: 19Serie:  - resolve_4scan_trace_tra_p2_150_TRACEW Immagine: 20Serie:  - resolve_4scan_trace_tra_p2_150_TRACEW Immagine: 21
Serie:  - resolve_4scan_trace_tra_p2_150_TRACEW Immagine: 22Serie:  - resolve_4scan_trace_tra_p2_150_TRACEW Immagine: 23Serie:  - resolve_4scan_trace_tra_p2_150_TRACEW Immagine: 24
Serie:  - resolve_4scan_trace_tra_p2_150_TRACEW Immagine: 25Serie:  - resolve_4scan_trace_tra_p2_150_TRACEW Immagine: 26Serie:  - resolve_4scan_trace_tra_p2_150_TRACEW Immagine: 27
Serie:  - resolve_4scan_trace_tra_p2_150_TRACEW Immagine: 28Serie:  - resolve_4scan_trace_tra_p2_150_TRACEW Immagine: 29Serie:  - resolve_4scan_trace_tra_p2_150_TRACEW Immagine: 30
Serie:  - resolve_4scan_trace_tra_p2_150_TRACEW Immagine: 31Serie:  - resolve_4scan_trace_tra_p2_150_TRACEW Immagine: 32Serie:  - resolve_4scan_trace_tra_p2_150_TRACEW Immagine: 33
Serie:  - resolve_4scan_trace_tra_p2_150_TRACEW Immagine: 34Serie:  - resolve_4scan_trace_tra_p2_150_TRACEW Immagine: 35Serie:  - resolve_4scan_trace_tra_p2_150_TRACEW Immagine: 36
Serie:  - resolve_4scan_trace_tra_p2_150_TRACEW Immagine: 37Serie:  - resolve_4scan_trace_tra_p2_150_TRACEW Immagine: 38Serie:  - resolve_4scan_trace_tra_p2_150_TRACEW Immagine: 39
Serie:  - resolve_4scan_trace_tra_p2_150_TRACEW Immagine: 40Serie:  - resolve_4scan_trace_tra_p2_150_TRACEW Immagine: 41Serie:  - resolve_4scan_trace_tra_p2_150_TRACEW Immagine: 42
Serie:  - resolve_4scan_trace_tra_p2_150_TRACEW Immagine: 43Serie:  - resolve_4scan_trace_tra_p2_150_TRACEW Immagine: 44Serie:  - resolve_4scan_trace_tra_p2_150_TRACEW Immagine: 45
Serie:  - resolve_4scan_trace_tra_p2_150_TRACEW Immagine: 46Serie:  - resolve_4scan_trace_tra_p2_150_TRACEW Immagine: 47Serie:  - resolve_4scan_trace_tra_p2_150_TRACEW Immagine: 48
Serie:  - resolve_4scan_trace_tra_p2_150_TRACEW Immagine: 49Serie:  - resolve_4scan_trace_tra_p2_150_TRACEW Immagine: 50
Torna all'inizio
 
Serie(ID: ) MR - resolve_4scan_trace_tra_p2_150_ADC
Serie:  - resolve_4scan_trace_tra_p2_150_ADC Immagine: 1Serie:  - resolve_4scan_trace_tra_p2_150_ADC Immagine: 2Serie:  - resolve_4scan_trace_tra_p2_150_ADC Immagine: 3
Serie:  - resolve_4scan_trace_tra_p2_150_ADC Immagine: 4Serie:  - resolve_4scan_trace_tra_p2_150_ADC Immagine: 5Serie:  - resolve_4scan_trace_tra_p2_150_ADC Immagine: 6
Serie:  - resolve_4scan_trace_tra_p2_150_ADC Immagine: 7Serie:  - resolve_4scan_trace_tra_p2_150_ADC Immagine: 8Serie:  - resolve_4scan_trace_tra_p2_150_ADC Immagine: 9
Serie:  - resolve_4scan_trace_tra_p2_150_ADC Immagine: 10Serie:  - resolve_4scan_trace_tra_p2_150_ADC Immagine: 11Serie:  - resolve_4scan_trace_tra_p2_150_ADC Immagine: 12
Serie:  - resolve_4scan_trace_tra_p2_150_ADC Immagine: 13Serie:  - resolve_4scan_trace_tra_p2_150_ADC Immagine: 14Serie:  - resolve_4scan_trace_tra_p2_150_ADC Immagine: 15
Serie:  - resolve_4scan_trace_tra_p2_150_ADC Immagine: 16Serie:  - resolve_4scan_trace_tra_p2_150_ADC Immagine: 17Serie:  - resolve_4scan_trace_tra_p2_150_ADC Immagine: 18
Serie:  - resolve_4scan_trace_tra_p2_150_ADC Immagine: 19Serie:  - resolve_4scan_trace_tra_p2_150_ADC Immagine: 20Serie:  - resolve_4scan_trace_tra_p2_150_ADC Immagine: 21
Serie:  - resolve_4scan_trace_tra_p2_150_ADC Immagine: 22Serie:  - resolve_4scan_trace_tra_p2_150_ADC Immagine: 23Serie:  - resolve_4scan_trace_tra_p2_150_ADC Immagine: 24
Serie:  - resolve_4scan_trace_tra_p2_150_ADC Immagine: 25
Torna all'inizio
 
Serie(ID: ) MR - t1_se_tra
Serie:  - t1_se_tra Immagine: 1Serie:  - t1_se_tra Immagine: 2Serie:  - t1_se_tra Immagine: 3
Serie:  - t1_se_tra Immagine: 4Serie:  - t1_se_tra Immagine: 5Serie:  - t1_se_tra Immagine: 6
Serie:  - t1_se_tra Immagine: 7Serie:  - t1_se_tra Immagine: 8Serie:  - t1_se_tra Immagine: 9
Serie:  - t1_se_tra Immagine: 10Serie:  - t1_se_tra Immagine: 11Serie:  - t1_se_tra Immagine: 12
Serie:  - t1_se_tra Immagine: 13Serie:  - t1_se_tra Immagine: 14Serie:  - t1_se_tra Immagine: 15
Serie:  - t1_se_tra Immagine: 16Serie:  - t1_se_tra Immagine: 17Serie:  - t1_se_tra Immagine: 18
Serie:  - t1_se_tra Immagine: 19Serie:  - t1_se_tra Immagine: 20Serie:  - t1_se_tra Immagine: 21
Serie:  - t1_se_tra Immagine: 22Serie:  - t1_se_tra Immagine: 23Serie:  - t1_se_tra Immagine: 24
Serie:  - t1_se_tra Immagine: 25
Torna all'inizio
 
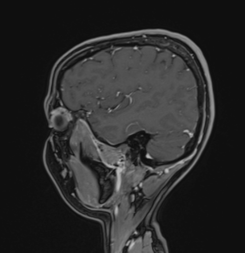
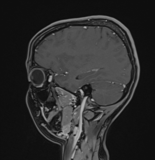
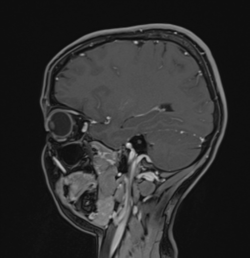
Serie(ID: ) MR - t1_vibe_fs_sag_MDC
Serie:  - t1_vibe_fs_sag_MDC Immagine: 1Serie:  - t1_vibe_fs_sag_MDC Immagine: 2Serie:  - t1_vibe_fs_sag_MDC Immagine: 3
Serie:  - t1_vibe_fs_sag_MDC Immagine: 4Serie:  - t1_vibe_fs_sag_MDC Immagine: 5Serie:  - t1_vibe_fs_sag_MDC Immagine: 6
Serie:  - t1_vibe_fs_sag_MDC Immagine: 7Serie:  - t1_vibe_fs_sag_MDC Immagine: 8Serie:  - t1_vibe_fs_sag_MDC Immagine: 9
Serie:  - t1_vibe_fs_sag_MDC Immagine: 10Serie:  - t1_vibe_fs_sag_MDC Immagine: 11Serie:  - t1_vibe_fs_sag_MDC Immagine: 12
Serie:  - t1_vibe_fs_sag_MDC Immagine: 13Serie:  - t1_vibe_fs_sag_MDC Immagine: 14Serie:  - t1_vibe_fs_sag_MDC Immagine: 15
Serie:  - t1_vibe_fs_sag_MDC Immagine: 16Serie:  - t1_vibe_fs_sag_MDC Immagine: 17Serie:  - t1_vibe_fs_sag_MDC Immagine: 18
Serie:  - t1_vibe_fs_sag_MDC Immagine: 19Serie:  - t1_vibe_fs_sag_MDC Immagine: 20Serie:  - t1_vibe_fs_sag_MDC Immagine: 21
Serie:  - t1_vibe_fs_sag_MDC Immagine: 22Serie:  - t1_vibe_fs_sag_MDC Immagine: 23Serie:  - t1_vibe_fs_sag_MDC Immagine: 24
Serie:  - t1_vibe_fs_sag_MDC Immagine: 25Serie:  - t1_vibe_fs_sag_MDC Immagine: 26Serie:  - t1_vibe_fs_sag_MDC Immagine: 27
Serie:  - t1_vibe_fs_sag_MDC Immagine: 28Serie:  - t1_vibe_fs_sag_MDC Immagine: 29Serie:  - t1_vibe_fs_sag_MDC Immagine: 30
Serie:  - t1_vibe_fs_sag_MDC Immagine: 31Serie:  - t1_vibe_fs_sag_MDC Immagine: 32Serie:  - t1_vibe_fs_sag_MDC Immagine: 33
Serie:  - t1_vibe_fs_sag_MDC Immagine: 34Serie:  - t1_vibe_fs_sag_MDC Immagine: 35Serie:  - t1_vibe_fs_sag_MDC Immagine: 36
Serie:  - t1_vibe_fs_sag_MDC Immagine: 37Serie:  - t1_vibe_fs_sag_MDC Immagine: 38Serie:  - t1_vibe_fs_sag_MDC Immagine: 39
Serie:  - t1_vibe_fs_sag_MDC Immagine: 40Serie:  - t1_vibe_fs_sag_MDC Immagine: 41Serie:  - t1_vibe_fs_sag_MDC Immagine: 42
Serie:  - t1_vibe_fs_sag_MDC Immagine: 43Serie:  - t1_vibe_fs_sag_MDC Immagine: 44Serie:  - t1_vibe_fs_sag_MDC Immagine: 45
Serie:  - t1_vibe_fs_sag_MDC Immagine: 46Serie:  - t1_vibe_fs_sag_MDC Immagine: 47Serie:  - t1_vibe_fs_sag_MDC Immagine: 48
Serie:  - t1_vibe_fs_sag_MDC Immagine: 49Serie:  - t1_vibe_fs_sag_MDC Immagine: 50Serie:  - t1_vibe_fs_sag_MDC Immagine: 51
Serie:  - t1_vibe_fs_sag_MDC Immagine: 52Serie:  - t1_vibe_fs_sag_MDC Immagine: 53Serie:  - t1_vibe_fs_sag_MDC Immagine: 54
Serie:  - t1_vibe_fs_sag_MDC Immagine: 55Serie:  - t1_vibe_fs_sag_MDC Immagine: 56Serie:  - t1_vibe_fs_sag_MDC Immagine: 57
Serie:  - t1_vibe_fs_sag_MDC Immagine: 58Serie:  - t1_vibe_fs_sag_MDC Immagine: 59Serie:  - t1_vibe_fs_sag_MDC Immagine: 60
Serie:  - t1_vibe_fs_sag_MDC Immagine: 61Serie:  - t1_vibe_fs_sag_MDC Immagine: 62Serie:  - t1_vibe_fs_sag_MDC Immagine: 63
Serie:  - t1_vibe_fs_sag_MDC Immagine: 64Serie:  - t1_vibe_fs_sag_MDC Immagine: 65Serie:  - t1_vibe_fs_sag_MDC Immagine: 66
Serie:  - t1_vibe_fs_sag_MDC Immagine: 67Serie:  - t1_vibe_fs_sag_MDC Immagine: 68Serie:  - t1_vibe_fs_sag_MDC Immagine: 69
Serie:  - t1_vibe_fs_sag_MDC Immagine: 70Serie:  - t1_vibe_fs_sag_MDC Immagine: 71Serie:  - t1_vibe_fs_sag_MDC Immagine: 72
Serie:  - t1_vibe_fs_sag_MDC Immagine: 73Serie:  - t1_vibe_fs_sag_MDC Immagine: 74Serie:  - t1_vibe_fs_sag_MDC Immagine: 75
Serie:  - t1_vibe_fs_sag_MDC Immagine: 76Serie:  - t1_vibe_fs_sag_MDC Immagine: 77Serie:  - t1_vibe_fs_sag_MDC Immagine: 78
Serie:  - t1_vibe_fs_sag_MDC Immagine: 79Serie:  - t1_vibe_fs_sag_MDC Immagine: 80Serie:  - t1_vibe_fs_sag_MDC Immagine: 81
Serie:  - t1_vibe_fs_sag_MDC Immagine: 82Serie:  - t1_vibe_fs_sag_MDC Immagine: 83Serie:  - t1_vibe_fs_sag_MDC Immagine: 84
Serie:  - t1_vibe_fs_sag_MDC Immagine: 85Serie:  - t1_vibe_fs_sag_MDC Immagine: 86Serie:  - t1_vibe_fs_sag_MDC Immagine: 87
Serie:  - t1_vibe_fs_sag_MDC Immagine: 88Serie:  - t1_vibe_fs_sag_MDC Immagine: 89Serie:  - t1_vibe_fs_sag_MDC Immagine: 90
Serie:  - t1_vibe_fs_sag_MDC Immagine: 91Serie:  - t1_vibe_fs_sag_MDC Immagine: 92Serie:  - t1_vibe_fs_sag_MDC Immagine: 93
Serie:  - t1_vibe_fs_sag_MDC Immagine: 94Serie:  - t1_vibe_fs_sag_MDC Immagine: 95Serie:  - t1_vibe_fs_sag_MDC Immagine: 96
Serie:  - t1_vibe_fs_sag_MDC Immagine: 97Serie:  - t1_vibe_fs_sag_MDC Immagine: 98Serie:  - t1_vibe_fs_sag_MDC Immagine: 99
Serie:  - t1_vibe_fs_sag_MDC Immagine: 100Serie:  - t1_vibe_fs_sag_MDC Immagine: 101Serie:  - t1_vibe_fs_sag_MDC Immagine: 102
Serie:  - t1_vibe_fs_sag_MDC Immagine: 103Serie:  - t1_vibe_fs_sag_MDC Immagine: 104Serie:  - t1_vibe_fs_sag_MDC Immagine: 105
Serie:  - t1_vibe_fs_sag_MDC Immagine: 106Serie:  - t1_vibe_fs_sag_MDC Immagine: 107Serie:  - t1_vibe_fs_sag_MDC Immagine: 108
Serie:  - t1_vibe_fs_sag_MDC Immagine: 109Serie:  - t1_vibe_fs_sag_MDC Immagine: 110Serie:  - t1_vibe_fs_sag_MDC Immagine: 111
Serie:  - t1_vibe_fs_sag_MDC Immagine: 112Serie:  - t1_vibe_fs_sag_MDC Immagine: 113Serie:  - t1_vibe_fs_sag_MDC Immagine: 114
Serie:  - t1_vibe_fs_sag_MDC Immagine: 115Serie:  - t1_vibe_fs_sag_MDC Immagine: 116Serie:  - t1_vibe_fs_sag_MDC Immagine: 117
Serie:  - t1_vibe_fs_sag_MDC Immagine: 118Serie:  - t1_vibe_fs_sag_MDC Immagine: 119Serie:  - t1_vibe_fs_sag_MDC Immagine: 120
Serie:  - t1_vibe_fs_sag_MDC Immagine: 121Serie:  - t1_vibe_fs_sag_MDC Immagine: 122Serie:  - t1_vibe_fs_sag_MDC Immagine: 123
Serie:  - t1_vibe_fs_sag_MDC Immagine: 124Serie:  - t1_vibe_fs_sag_MDC Immagine: 125Serie:  - t1_vibe_fs_sag_MDC Immagine: 126
Serie:  - t1_vibe_fs_sag_MDC Immagine: 127Serie:  - t1_vibe_fs_sag_MDC Immagine: 128Serie:  - t1_vibe_fs_sag_MDC Immagine: 129
Serie:  - t1_vibe_fs_sag_MDC Immagine: 130Serie:  - t1_vibe_fs_sag_MDC Immagine: 131Serie:  - t1_vibe_fs_sag_MDC Immagine: 132
Serie:  - t1_vibe_fs_sag_MDC Immagine: 133Serie:  - t1_vibe_fs_sag_MDC Immagine: 134Serie:  - t1_vibe_fs_sag_MDC Immagine: 135
Serie:  - t1_vibe_fs_sag_MDC Immagine: 136Serie:  - t1_vibe_fs_sag_MDC Immagine: 137Serie:  - t1_vibe_fs_sag_MDC Immagine: 138
Serie:  - t1_vibe_fs_sag_MDC Immagine: 139Serie:  - t1_vibe_fs_sag_MDC Immagine: 140Serie:  - t1_vibe_fs_sag_MDC Immagine: 141
Serie:  - t1_vibe_fs_sag_MDC Immagine: 142Serie:  - t1_vibe_fs_sag_MDC Immagine: 143Serie:  - t1_vibe_fs_sag_MDC Immagine: 144
Serie:  - t1_vibe_fs_sag_MDC Immagine: 145Serie:  - t1_vibe_fs_sag_MDC Immagine: 146Serie:  - t1_vibe_fs_sag_MDC Immagine: 147
Serie:  - t1_vibe_fs_sag_MDC Immagine: 148Serie:  - t1_vibe_fs_sag_MDC Immagine: 149Serie:  - t1_vibe_fs_sag_MDC Immagine: 150
Serie:  - t1_vibe_fs_sag_MDC Immagine: 151Serie:  - t1_vibe_fs_sag_MDC Immagine: 152Serie:  - t1_vibe_fs_sag_MDC Immagine: 153
Serie:  - t1_vibe_fs_sag_MDC Immagine: 154Serie:  - t1_vibe_fs_sag_MDC Immagine: 155Serie:  - t1_vibe_fs_sag_MDC Immagine: 156
Serie:  - t1_vibe_fs_sag_MDC Immagine: 157Serie:  - t1_vibe_fs_sag_MDC Immagine: 158Serie:  - t1_vibe_fs_sag_MDC Immagine: 159
Serie:  - t1_vibe_fs_sag_MDC Immagine: 160Serie:  - t1_vibe_fs_sag_MDC Immagine: 161Serie:  - t1_vibe_fs_sag_MDC Immagine: 162
Serie:  - t1_vibe_fs_sag_MDC Immagine: 163Serie:  - t1_vibe_fs_sag_MDC Immagine: 164Serie:  - t1_vibe_fs_sag_MDC Immagine: 165
Serie:  - t1_vibe_fs_sag_MDC Immagine: 166Serie:  - t1_vibe_fs_sag_MDC Immagine: 167Serie:  - t1_vibe_fs_sag_MDC Immagine: 168
Serie:  - t1_vibe_fs_sag_MDC Immagine: 169Serie:  - t1_vibe_fs_sag_MDC Immagine: 170Serie:  - t1_vibe_fs_sag_MDC Immagine: 171
Serie:  - t1_vibe_fs_sag_MDC Immagine: 172Serie:  - t1_vibe_fs_sag_MDC Immagine: 173Serie:  - t1_vibe_fs_sag_MDC Immagine: 174
Serie:  - t1_vibe_fs_sag_MDC Immagine: 175Serie:  - t1_vibe_fs_sag_MDC Immagine: 176Serie:  - t1_vibe_fs_sag_MDC Immagine: 177
Serie:  - t1_vibe_fs_sag_MDC Immagine: 178Serie:  - t1_vibe_fs_sag_MDC Immagine: 179Serie:  - t1_vibe_fs_sag_MDC Immagine: 180
Serie:  - t1_vibe_fs_sag_MDC Immagine: 181Serie:  - t1_vibe_fs_sag_MDC Immagine: 182Serie:  - t1_vibe_fs_sag_MDC Immagine: 183
Serie:  - t1_vibe_fs_sag_MDC Immagine: 184Serie:  - t1_vibe_fs_sag_MDC Immagine: 185Serie:  - t1_vibe_fs_sag_MDC Immagine: 186
Serie:  - t1_vibe_fs_sag_MDC Immagine: 187Serie:  - t1_vibe_fs_sag_MDC Immagine: 188Serie:  - t1_vibe_fs_sag_MDC Immagine: 189
Serie:  - t1_vibe_fs_sag_MDC Immagine: 190Serie:  - t1_vibe_fs_sag_MDC Immagine: 191Serie:  - t1_vibe_fs_sag_MDC Immagine: 192
Torna all'inizio
 
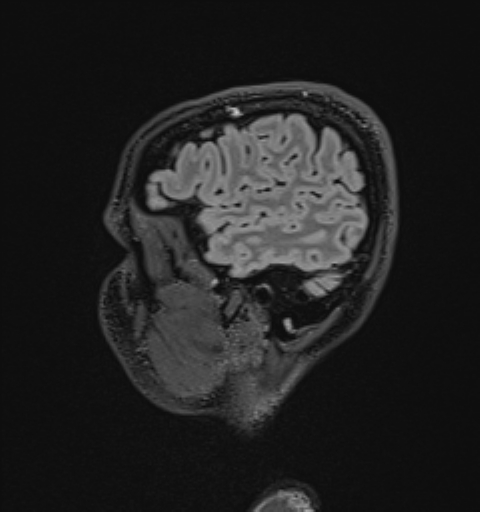
Serie(ID: ) MR - t1_se_tra fs MDC
Serie:  - t1_se_tra fs MDC Immagine: 1Serie:  - t1_se_tra fs MDC Immagine: 2Serie:  - t1_se_tra fs MDC Immagine: 3
Serie:  - t1_se_tra fs MDC Immagine: 4Serie:  - t1_se_tra fs MDC Immagine: 5Serie:  - t1_se_tra fs MDC Immagine: 6
Serie:  - t1_se_tra fs MDC Immagine: 7Serie:  - t1_se_tra fs MDC Immagine: 8Serie:  - t1_se_tra fs MDC Immagine: 9
Serie:  - t1_se_tra fs MDC Immagine: 10Serie:  - t1_se_tra fs MDC Immagine: 11Serie:  - t1_se_tra fs MDC Immagine: 12
Serie:  - t1_se_tra fs MDC Immagine: 13Serie:  - t1_se_tra fs MDC Immagine: 14Serie:  - t1_se_tra fs MDC Immagine: 15
Serie:  - t1_se_tra fs MDC Immagine: 16Serie:  - t1_se_tra fs MDC Immagine: 17Serie:  - t1_se_tra fs MDC Immagine: 18
Serie:  - t1_se_tra fs MDC Immagine: 19Serie:  - t1_se_tra fs MDC Immagine: 20Serie:  - t1_se_tra fs MDC Immagine: 21
Serie:  - t1_se_tra fs MDC Immagine: 22Serie:  - t1_se_tra fs MDC Immagine: 23Serie:  - t1_se_tra fs MDC Immagine: 24
Serie:  - t1_se_tra fs MDC Immagine: 25
Torna all'inizio
 
Serie(ID: ) MR - t2_space_dark-fluid_TRA
Serie:  - t2_space_dark-fluid_TRA Immagine: 1Serie:  - t2_space_dark-fluid_TRA Immagine: 2Serie:  - t2_space_dark-fluid_TRA Immagine: 3
Serie:  - t2_space_dark-fluid_TRA Immagine: 4Serie:  - t2_space_dark-fluid_TRA Immagine: 5Serie:  - t2_space_dark-fluid_TRA Immagine: 6
Serie:  - t2_space_dark-fluid_TRA Immagine: 7Serie:  - t2_space_dark-fluid_TRA Immagine: 8Serie:  - t2_space_dark-fluid_TRA Immagine: 9
Serie:  - t2_space_dark-fluid_TRA Immagine: 10Serie:  - t2_space_dark-fluid_TRA Immagine: 11Serie:  - t2_space_dark-fluid_TRA Immagine: 12
Serie:  - t2_space_dark-fluid_TRA Immagine: 13Serie:  - t2_space_dark-fluid_TRA Immagine: 14Serie:  - t2_space_dark-fluid_TRA Immagine: 15
Serie:  - t2_space_dark-fluid_TRA Immagine: 16Serie:  - t2_space_dark-fluid_TRA Immagine: 17Serie:  - t2_space_dark-fluid_TRA Immagine: 18
Serie:  - t2_space_dark-fluid_TRA Immagine: 19Serie:  - t2_space_dark-fluid_TRA Immagine: 20Serie:  - t2_space_dark-fluid_TRA Immagine: 21
Serie:  - t2_space_dark-fluid_TRA Immagine: 22Serie:  - t2_space_dark-fluid_TRA Immagine: 23Serie:  - t2_space_dark-fluid_TRA Immagine: 24
Serie:  - t2_space_dark-fluid_TRA Immagine: 25Serie:  - t2_space_dark-fluid_TRA Immagine: 26Serie:  - t2_space_dark-fluid_TRA Immagine: 27
Serie:  - t2_space_dark-fluid_TRA Immagine: 28Serie:  - t2_space_dark-fluid_TRA Immagine: 29Serie:  - t2_space_dark-fluid_TRA Immagine: 30
Serie:  - t2_space_dark-fluid_TRA Immagine: 31Serie:  - t2_space_dark-fluid_TRA Immagine: 32Serie:  - t2_space_dark-fluid_TRA Immagine: 33
Serie:  - t2_space_dark-fluid_TRA Immagine: 34Serie:  - t2_space_dark-fluid_TRA Immagine: 35Serie:  - t2_space_dark-fluid_TRA Immagine: 36
Serie:  - t2_space_dark-fluid_TRA Immagine: 37Serie:  - t2_space_dark-fluid_TRA Immagine: 38Serie:  - t2_space_dark-fluid_TRA Immagine: 39
Serie:  - t2_space_dark-fluid_TRA Immagine: 40Serie:  - t2_space_dark-fluid_TRA Immagine: 41Serie:  - t2_space_dark-fluid_TRA Immagine: 42
Serie:  - t2_space_dark-fluid_TRA Immagine: 43Serie:  - t2_space_dark-fluid_TRA Immagine: 44Serie:  - t2_space_dark-fluid_TRA Immagine: 45
Serie:  - t2_space_dark-fluid_TRA Immagine: 46Serie:  - t2_space_dark-fluid_TRA Immagine: 47Serie:  - t2_space_dark-fluid_TRA Immagine: 48
Serie:  - t2_space_dark-fluid_TRA Immagine: 49Serie:  - t2_space_dark-fluid_TRA Immagine: 50Serie:  - t2_space_dark-fluid_TRA Immagine: 51
Serie:  - t2_space_dark-fluid_TRA Immagine: 52Serie:  - t2_space_dark-fluid_TRA Immagine: 53Serie:  - t2_space_dark-fluid_TRA Immagine: 54
Torna all'inizio
 
Serie(ID: ) MR - t2_space_dark-fluid_COR
Serie:  - t2_space_dark-fluid_COR Immagine: 1Serie:  - t2_space_dark-fluid_COR Immagine: 2Serie:  - t2_space_dark-fluid_COR Immagine: 3
Serie:  - t2_space_dark-fluid_COR Immagine: 4Serie:  - t2_space_dark-fluid_COR Immagine: 5Serie:  - t2_space_dark-fluid_COR Immagine: 6
Serie:  - t2_space_dark-fluid_COR Immagine: 7Serie:  - t2_space_dark-fluid_COR Immagine: 8Serie:  - t2_space_dark-fluid_COR Immagine: 9
Serie:  - t2_space_dark-fluid_COR Immagine: 10Serie:  - t2_space_dark-fluid_COR Immagine: 11Serie:  - t2_space_dark-fluid_COR Immagine: 12
Serie:  - t2_space_dark-fluid_COR Immagine: 13Serie:  - t2_space_dark-fluid_COR Immagine: 14Serie:  - t2_space_dark-fluid_COR Immagine: 15
Serie:  - t2_space_dark-fluid_COR Immagine: 16Serie:  - t2_space_dark-fluid_COR Immagine: 17Serie:  - t2_space_dark-fluid_COR Immagine: 18
Serie:  - t2_space_dark-fluid_COR Immagine: 19Serie:  - t2_space_dark-fluid_COR Immagine: 20Serie:  - t2_space_dark-fluid_COR Immagine: 21
Serie:  - t2_space_dark-fluid_COR Immagine: 22Serie:  - t2_space_dark-fluid_COR Immagine: 23Serie:  - t2_space_dark-fluid_COR Immagine: 24
Serie:  - t2_space_dark-fluid_COR Immagine: 25Serie:  - t2_space_dark-fluid_COR Immagine: 26Serie:  - t2_space_dark-fluid_COR Immagine: 27
Serie:  - t2_space_dark-fluid_COR Immagine: 28Serie:  - t2_space_dark-fluid_COR Immagine: 29Serie:  - t2_space_dark-fluid_COR Immagine: 30
Serie:  - t2_space_dark-fluid_COR Immagine: 31Serie:  - t2_space_dark-fluid_COR Immagine: 32Serie:  - t2_space_dark-fluid_COR Immagine: 33
Serie:  - t2_space_dark-fluid_COR Immagine: 34Serie:  - t2_space_dark-fluid_COR Immagine: 35Serie:  - t2_space_dark-fluid_COR Immagine: 36
Serie:  - t2_space_dark-fluid_COR Immagine: 37Serie:  - t2_space_dark-fluid_COR Immagine: 38Serie:  - t2_space_dark-fluid_COR Immagine: 39
Serie:  - t2_space_dark-fluid_COR Immagine: 40Serie:  - t2_space_dark-fluid_COR Immagine: 41Serie:  - t2_space_dark-fluid_COR Immagine: 42
Serie:  - t2_space_dark-fluid_COR Immagine: 43Serie:  - t2_space_dark-fluid_COR Immagine: 44Serie:  - t2_space_dark-fluid_COR Immagine: 45
Serie:  - t2_space_dark-fluid_COR Immagine: 46Serie:  - t2_space_dark-fluid_COR Immagine: 47Serie:  - t2_space_dark-fluid_COR Immagine: 48
Serie:  - t2_space_dark-fluid_COR Immagine: 49Serie:  - t2_space_dark-fluid_COR Immagine: 50Serie:  - t2_space_dark-fluid_COR Immagine: 51
Serie:  - t2_space_dark-fluid_COR Immagine: 52Serie:  - t2_space_dark-fluid_COR Immagine: 53Serie:  - t2_space_dark-fluid_COR Immagine: 54
Serie:  - t2_space_dark-fluid_COR Immagine: 55Serie:  - t2_space_dark-fluid_COR Immagine: 56Serie:  - t2_space_dark-fluid_COR Immagine: 57
Serie:  - t2_space_dark-fluid_COR Immagine: 58Serie:  - t2_space_dark-fluid_COR Immagine: 59Serie:  - t2_space_dark-fluid_COR Immagine: 60
Serie:  - t2_space_dark-fluid_COR Immagine: 61
Torna all'inizio
 
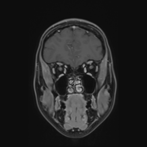
Serie(ID: ) MR - t1_vibe_fs_TRA_MDC
Serie:  - t1_vibe_fs_TRA_MDC Immagine: 1Serie:  - t1_vibe_fs_TRA_MDC Immagine: 2Serie:  - t1_vibe_fs_TRA_MDC Immagine: 3
Serie:  - t1_vibe_fs_TRA_MDC Immagine: 4Serie:  - t1_vibe_fs_TRA_MDC Immagine: 5Serie:  - t1_vibe_fs_TRA_MDC Immagine: 6
Serie:  - t1_vibe_fs_TRA_MDC Immagine: 7Serie:  - t1_vibe_fs_TRA_MDC Immagine: 8Serie:  - t1_vibe_fs_TRA_MDC Immagine: 9
Serie:  - t1_vibe_fs_TRA_MDC Immagine: 10Serie:  - t1_vibe_fs_TRA_MDC Immagine: 11Serie:  - t1_vibe_fs_TRA_MDC Immagine: 12
Serie:  - t1_vibe_fs_TRA_MDC Immagine: 13Serie:  - t1_vibe_fs_TRA_MDC Immagine: 14Serie:  - t1_vibe_fs_TRA_MDC Immagine: 15
Serie:  - t1_vibe_fs_TRA_MDC Immagine: 16Serie:  - t1_vibe_fs_TRA_MDC Immagine: 17Serie:  - t1_vibe_fs_TRA_MDC Immagine: 18
Serie:  - t1_vibe_fs_TRA_MDC Immagine: 19Serie:  - t1_vibe_fs_TRA_MDC Immagine: 20Serie:  - t1_vibe_fs_TRA_MDC Immagine: 21
Serie:  - t1_vibe_fs_TRA_MDC Immagine: 22Serie:  - t1_vibe_fs_TRA_MDC Immagine: 23Serie:  - t1_vibe_fs_TRA_MDC Immagine: 24
Serie:  - t1_vibe_fs_TRA_MDC Immagine: 25Serie:  - t1_vibe_fs_TRA_MDC Immagine: 26Serie:  - t1_vibe_fs_TRA_MDC Immagine: 27
Serie:  - t1_vibe_fs_TRA_MDC Immagine: 28Serie:  - t1_vibe_fs_TRA_MDC Immagine: 29Serie:  - t1_vibe_fs_TRA_MDC Immagine: 30
Serie:  - t1_vibe_fs_TRA_MDC Immagine: 31Serie:  - t1_vibe_fs_TRA_MDC Immagine: 32Serie:  - t1_vibe_fs_TRA_MDC Immagine: 33
Serie:  - t1_vibe_fs_TRA_MDC Immagine: 34Serie:  - t1_vibe_fs_TRA_MDC Immagine: 35Serie:  - t1_vibe_fs_TRA_MDC Immagine: 36
Serie:  - t1_vibe_fs_TRA_MDC Immagine: 37Serie:  - t1_vibe_fs_TRA_MDC Immagine: 38Serie:  - t1_vibe_fs_TRA_MDC Immagine: 39
Serie:  - t1_vibe_fs_TRA_MDC Immagine: 40Serie:  - t1_vibe_fs_TRA_MDC Immagine: 41Serie:  - t1_vibe_fs_TRA_MDC Immagine: 42
Serie:  - t1_vibe_fs_TRA_MDC Immagine: 43Serie:  - t1_vibe_fs_TRA_MDC Immagine: 44Serie:  - t1_vibe_fs_TRA_MDC Immagine: 45
Serie:  - t1_vibe_fs_TRA_MDC Immagine: 46Serie:  - t1_vibe_fs_TRA_MDC Immagine: 47Serie:  - t1_vibe_fs_TRA_MDC Immagine: 48
Serie:  - t1_vibe_fs_TRA_MDC Immagine: 49Serie:  - t1_vibe_fs_TRA_MDC Immagine: 50Serie:  - t1_vibe_fs_TRA_MDC Immagine: 51
Serie:  - t1_vibe_fs_TRA_MDC Immagine: 52Serie:  - t1_vibe_fs_TRA_MDC Immagine: 53
Torna all'inizio
 
Serie(ID: ) MR - t1_vibe_fs_COR_MDC
Serie:  - t1_vibe_fs_COR_MDC Immagine: 1Serie:  - t1_vibe_fs_COR_MDC Immagine: 2Serie:  - t1_vibe_fs_COR_MDC Immagine: 3
Serie:  - t1_vibe_fs_COR_MDC Immagine: 4Serie:  - t1_vibe_fs_COR_MDC Immagine: 5Serie:  - t1_vibe_fs_COR_MDC Immagine: 6
Serie:  - t1_vibe_fs_COR_MDC Immagine: 7Serie:  - t1_vibe_fs_COR_MDC Immagine: 8Serie:  - t1_vibe_fs_COR_MDC Immagine: 9
Serie:  - t1_vibe_fs_COR_MDC Immagine: 10Serie:  - t1_vibe_fs_COR_MDC Immagine: 11Serie:  - t1_vibe_fs_COR_MDC Immagine: 12
Serie:  - t1_vibe_fs_COR_MDC Immagine: 13Serie:  - t1_vibe_fs_COR_MDC Immagine: 14Serie:  - t1_vibe_fs_COR_MDC Immagine: 15
Serie:  - t1_vibe_fs_COR_MDC Immagine: 16Serie:  - t1_vibe_fs_COR_MDC Immagine: 17Serie:  - t1_vibe_fs_COR_MDC Immagine: 18
Serie:  - t1_vibe_fs_COR_MDC Immagine: 19Serie:  - t1_vibe_fs_COR_MDC Immagine: 20Serie:  - t1_vibe_fs_COR_MDC Immagine: 21
Serie:  - t1_vibe_fs_COR_MDC Immagine: 22Serie:  - t1_vibe_fs_COR_MDC Immagine: 23Serie:  - t1_vibe_fs_COR_MDC Immagine: 24
Serie:  - t1_vibe_fs_COR_MDC Immagine: 25Serie:  - t1_vibe_fs_COR_MDC Immagine: 26Serie:  - t1_vibe_fs_COR_MDC Immagine: 27
Serie:  - t1_vibe_fs_COR_MDC Immagine: 28Serie:  - t1_vibe_fs_COR_MDC Immagine: 29Serie:  - t1_vibe_fs_COR_MDC Immagine: 30
Serie:  - t1_vibe_fs_COR_MDC Immagine: 31Serie:  - t1_vibe_fs_COR_MDC Immagine: 32Serie:  - t1_vibe_fs_COR_MDC Immagine: 33
Serie:  - t1_vibe_fs_COR_MDC Immagine: 34Serie:  - t1_vibe_fs_COR_MDC Immagine: 35Serie:  - t1_vibe_fs_COR_MDC Immagine: 36
Serie:  - t1_vibe_fs_COR_MDC Immagine: 37Serie:  - t1_vibe_fs_COR_MDC Immagine: 38Serie:  - t1_vibe_fs_COR_MDC Immagine: 39
Serie:  - t1_vibe_fs_COR_MDC Immagine: 40Serie:  - t1_vibe_fs_COR_MDC Immagine: 41Serie:  - t1_vibe_fs_COR_MDC Immagine: 42
Serie:  - t1_vibe_fs_COR_MDC Immagine: 43Serie:  - t1_vibe_fs_COR_MDC Immagine: 44Serie:  - t1_vibe_fs_COR_MDC Immagine: 45
Serie:  - t1_vibe_fs_COR_MDC Immagine: 46Serie:  - t1_vibe_fs_COR_MDC Immagine: 47Serie:  - t1_vibe_fs_COR_MDC Immagine: 48
Serie:  - t1_vibe_fs_COR_MDC Immagine: 49Serie:  - t1_vibe_fs_COR_MDC Immagine: 50Serie:  - t1_vibe_fs_COR_MDC Immagine: 51
Serie:  - t1_vibe_fs_COR_MDC Immagine: 52Serie:  - t1_vibe_fs_COR_MDC Immagine: 53Serie:  - t1_vibe_fs_COR_MDC Immagine: 54
Serie:  - t1_vibe_fs_COR_MDC Immagine: 55Serie:  - t1_vibe_fs_COR_MDC Immagine: 56Serie:  - t1_vibe_fs_COR_MDC Immagine: 57
Serie:  - t1_vibe_fs_COR_MDC Immagine: 58Serie:  - t1_vibe_fs_COR_MDC Immagine: 59Serie:  - t1_vibe_fs_COR_MDC Immagine: 60
Serie:  - t1_vibe_fs_COR_MDC Immagine: 61
Torna all'inizio